Advanced Imaging with Minimal Radiation Exposure for Your Safety
Experience the Future of Diagnostic Imaging: Faster, Safer, and More Accurate. Our new digital PET CT system offers upto 3x faster scans and significantly lower radiation exposure compared to conventional systems. With faster results, less radiation, and the same high-precision imaging, we provide the most advanced care — with your safety and comfort in mind.
1. Faster Scans, Better Precision : Our new digital 160 slice PET CT scan is upto 70% faster than conventional systems, providing you with quicker, more efficient results with exceptional image quality
2. Reduced Radiation Exposure: We use the latest digital technology to significantly reduce radiation levels, providing a safer imaging experience without compromising on the quality or accuracy of your diagnosis.
3. Increased Safety: By minimizing the amount of medicine needed for the scan, we ensure a safer and more comfortable experience for patients, especially those who require repeat imaging
- 160 slice digital PET CT
- Low radiation
- Low dose injection
- Faster scans
- AI powered
8 minutes Whole-body Scan
40.3 BMI Patient Imaging
0.05mCi/kg FDG Imaging
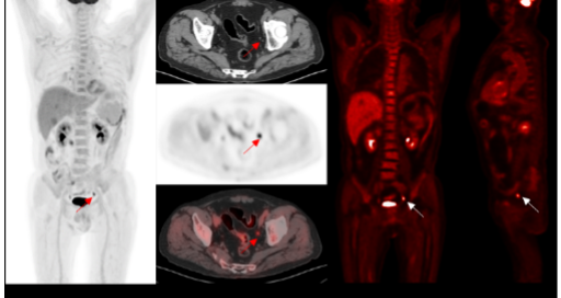
2.2mm small Lesion detection
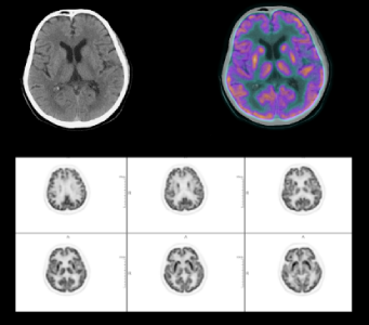
High Resolution Brain Imaging

Call Now